pixel
011-4551-3233whatsapp1151174888

Arietta

La línea de Ecógrafos de Fujifilm


La evolución del diagnóstico por ultrasonido con DeepInsight , la potencia aplicada de la Inteligencia Artificial.

ECÓGRAFOS ARIETTA:
la evolución del diagnóstico por ultrasonido

Mejores imágenes = Mejores diagnósticos.

La serie ARIETTA integra herramientas avanzadas para transformar la experiencia diagnóstica, ofreciendo un rendimiento superior y una claridad visual sin precedentes en cada estudio.

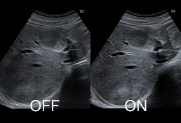
DeepInsight


DeepInsight es una plataforma tecnológica avanzada de procesamiento, exclusiva de Fujifilm, basada en Machine Learning, aprendizaje automático mediante IA, que optimiza la señal ecográfica en tiempo real, Incluso en casos difíciles como: pacientes obesos, hígado graso, flujo lento o estructuras profundas.

  • VENTAJAS
  • Mejora el contraste tisular
  • Mayor penetración sin perder resolución
  • Bordes más definidos
  • Menor dependencia del operador
  • Pipeline integrado en un único sistema optimizado

Mejora de imagen

Mejoras avanzadas en procesamiento de imagen

para mayor claridad diagnóstica.

Deep Insight

  • Noise Reduction AI:
    separa speckle útil del ruido electrónico, SNR sin pérdida de resolución.

Carving Imaging

  • Delineación tisular mejorada:
    Bordes más definidos e imágenes estables con menos dependencia del paciente.

eFocusing LITE (650DI)

  • eFocusing LITE (650DI):
    Proporciona enfoque uniforme en todo el campo de imagen, logrando calidad homogénea y mayor sensibilidad de detección.

eFocusing PLUS (750DI)

  • eFocusing PLUS (750DI):
    Tecnología avanzada que combina múltiples haces recibidos en una sola transmisión para generar una imagen en tiempo real con mayor definición y rendimiento.

Modos clínicos clave

Tecnologías avanzadas de imagen y automatización diseñadas para mejorar la precisión diagnóstica y la eficiencia del flujo de trabajo clínico.

Automatización

  • Auto-mediciones cardíacas y fetales que agilizan el análisis y reducen la dependencia del operador.
  • Selección automática de los frames más representativos durante el estudio.
  • Ajuste automático de ROI y parámetros Doppler para mayor precisión y consistencia.

Elastografía
(Strain + Shear wave + Atenuación)

  • Genera mapas cuantitativos y cualitativos de rigidez tisular.
  • Facilita la caracterización de lesiones y la evaluación de órganos.
  • Aplicable en hígado, mama, tiroides y otras estructuras.

Detección de flujo lento de alta sensibilidad (DFI)

  • Identifica flujos sanguíneos de muy baja velocidad.
  • Alta resolución temporal y espacial.
  • Permite visualizar pequeños vasos con mayor sensibilidad.

Renderizado avanzado 3D/4D

  • Reconstrucciones volumétricas detalladas y dinámicas en tiempo real, para aplicaciones obstétricas, cardiológicas y estructurales.
  • Optimiza la reproducibilidad diagnóstica, minimizando la variabilidad por operador, para decisiones clínicas más confiables.

Doppler simultáneo en dos sitios
(Dual Gate Doppler)

  • Visualiza y mide dos regiones de interés de forma simultánea.
  • Facilita comparaciones hemodinámicas en tiempo real.

Ampliación del campo de visión hasta 150°
(Wide Scanning)

  • Amplía el campo de visión para evaluar estructuras anatómicas extensas.
  • Permite visualizar áreas amplias en una sola imagen continua.

ARIETTA 750 DI

Funciones avanzadas opcionales para optimizar
el desempeño en cirugía e intervencionismo.

HARDWARE 750DI: • Monitor OLED 22″ • 6 puertos de transductores (4 activos) • Disco 1 TB integrado

  • Fusión de imágenes en tiempo real con Tomografía y Resonancia
  • RVS (Real-time Virtual Sonography) alinea la imagen ecográfica con estudios previos de tomografía o resonancia, incluyendo reconstrucciones generadas en Synapse 3D, para comparar la anatomía en vivo y localizar lesiones con alta precisión. Mantiene la sincronización de forma automática, incluso ante movimientos del paciente.
  • Soporte para punciones y procedimientos guiados
  • Needle Tracking muestra en pantalla la posición exacta de la punta de la aguja durante su avance, incrementando la precisión y la seguridad en biopsias, drenajes y ablaciones.
  • Planificación de trayectorias y simulación previa al procedimiento
  • Volume Data Extension y 3D Sim-Navigator permiten visualizar simulaciones basadas en reconstrucciones 3D sincronizadas con la imagen de ultrasonido en tiempo real, facilitando la planificación y anticipación del abordaje.
  • Brochure de ARIETTA 750 Dejanos tu email para poder recibir por correo la ficha técnica de este equipo.


    ARIETTA 650 DI

    Ideal para alto volumen de estudios
    con menor dependencia del operador.

    • Este sistema ha sido diseñado para optimizar el flujo de trabajo clínico sin comprometer la calidad de imagen, permitiendo diagnósticos consistentes incluso en casos complejos. Gracias a su arquitectura inteligente, reduce la fatiga del operador mediante la automatización de procesos críticos, convirtiéndose en el estándar de productividad para centros de diagnóstico modernos.
    • Tecnología DeepInsight
    • Automatización de mediciones (REILI) que reduce el tiempo de examen.
    • Movilidad excepcional con panel táctil intuitivo y monitor ajustable.
    • Ideal para alto volumen de estudios
    • Pantalla LCD 21.5″
    • Brochure de ARIETTA 650 Dejanos tu email para poder recibir por correo la ficha técnica de este equipo.



      HARDWARE 650DI: • Pantalla LCD 21.5″ • Batería opcional hasta 70 min

      ARIETTA 650:
      Eficiencia y precisión
      en cada estudio

      Smart Transducer Series

      Una línea completa de transductores diseñada para brindar máxima versatilidad y adaptarse a las necesidades de cada servicio.

      • Cubre un amplio rango de aplicaciones:
      • aplicaciones abdominales
      • partes pequeñas
      • cardiología
      • transesofágicas
      • intraoperatorias
      • intervencionistas
      • endocavitarios
      • volumétricas 3D/4D
      • La línea incluye transductores específicos para procedimientos de cirugía robótica y laparoscópica, ampliando las capacidades en entornos quirúrgicos de alta complejidad.

      Contactanos

      Envianos tu consulta y nuestros expertos se comunicarán con vos para asesorarte.


      Teléfono: 0 11-4551-3233  |  Whatsapp:    1151174888
      Horario de atención al cliente:
      Lunes a Viernes de 8.30h a 17.30h


        Recibí nuevas oportunidades